Grand Rounds
Progressive Multifocal Leukoencephalopathy in Chimeric Antigen Receptor T-Cell Therapy Recipients: A Case Study
Michelly Abreu, ANP/GNP, Chirag B. Patel, MD, Krina Patel, MD, et al.
May 6, 2025
Digging into the Cause of Drug-Induced Thrombocytopenia: A Case Report
Vivian A. Pham, PharmD, Christopher Selby, PharmD, BCOP
March 17, 2025
CAR T-Cell Therapy Unveiled: Navigating Beyond CRS and ICANS to Address Delayed Complications and Optimize Management Strategies
Karla V. Ow, MSN, APRN, AOCNP
January 29, 2025
Optimizing Treatment of BRAF V600E–Mutant Metastatic NSCLC With Encorafenib and Binimetinib: A Practical Resource for Advanced Practice Providers
Kelly Goodwin, NP, Kristi Orbaugh, MSN, NP, AOCNP®, Kirsten Duncan, PharmD, et al.
September 12, 2024
Beyond Standard Endocrine Therapy: A New Adjuvant Treatment in High-Risk Early Breast Cancer
Barbara Dean, DMSc, PA-C, DFAAPA
July 22, 2024
Use of the 31-Gene Expression Profile Test to Aid in the Decision of Adjuvant Treatment of Cutaneous Melanoma
Jillian Hunt, MSN, APRN, FNP-C, AOCNP
May 22, 2024
Intravenous Cetirizine Premedication to Mitigate Infusion-Related Reactions
Timothy Tyler,(1) PharmD, Erik Stojanoff,(2) PharmD, Joan Cannon,(2) PharmD, MBA, Jessie J. Um,(2) PharmD, BCPS, Stacia Young,(2) PharmD, BCOP, MBA, Jarrod P. Holmes,(3) MD, FACP, Lonnie D. Brent,(2) PharmD, and Nancy Martin,(2) MD, PharmD
March 27, 2024
Management of Advanced Prostate Cancer With Relugolix: Illustrative Case Scenarios From an Advanced Practice Provider Perspective
Jared Thorley,(1) APRN, MSN, FNP, and Saneese Stephen,(2) MPAS, PA-C, MPA
January 24, 2024
When Germline Genetic Testing Results Are Unclear: Highlighting Variants of Uncertain Significance
Patricia Kelly,(1) DNP, APRN, CNS, AGN-BC, AOCN®, Suzanne Mahon,(2) DNS, RN, AOCN®, AGN-BC, FAAN, and Patricia Friend,(3) PhD, APRN-CNS, AOCNS®, AGN-BC
November 29, 2023
Surgical Management of Gastrointestinal Stromal Tumors
Heather Townsend, MPAP, PA-C
September 19, 2023
Hyperammonemia Secondary to 5-Fluorouracil
Ashley Scott,(1,2) RN, BSN, OCN®, Sreenivas V. Rao,(2) MD, and Mary Lou Affronti,(1) DNP, RN, MHSc, ANP, FAAN
July 17, 2023
Management of Patients With Advanced Gastrointestinal Stromal Tumor: Emphasis on Fourth-Line Treatment With Ripretinib
Sandra Brackert,(1) NP, and Kathleen Polson,(2) NP
May 23, 2023
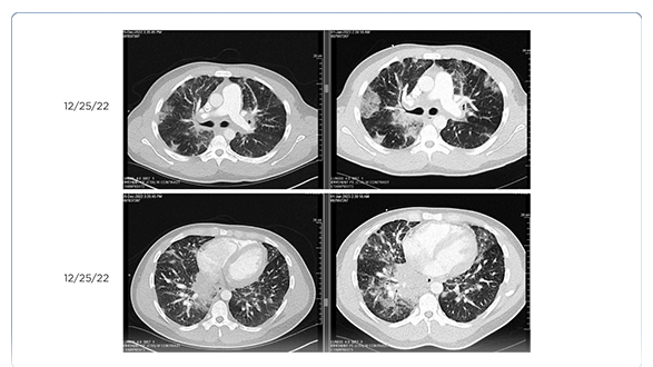
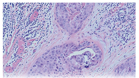
Using Pleomorphic Adenoma Gene 1 (PLAG1) to Distinguish Carcinoma of the Parotid Gland From Primary Lung Cancer: A Case Study
Avigayil East, DNP
March 22, 2023
Polatuzumab Vedotin for the Front-Line Treatment of Diffuse Large B-Cell Lymphoma: A New Standard of Care?
James A. Davis, PharmD, BCOP, Abigail Shockley, PharmD, Amanda Herbst, PA-C, and Lindsey Hendrickson, DNP, APRN, FNP-C
January 18, 2023
A Rare Event of Liver Dysfunction on Sotorasib and Management Strategy
Holly Kinahan, MSN, ANP-C, AOCNP®
November 22, 2022
Timely Genetic Testing and Therapy Management in Patients With gBRCA-Mutated Metastatic Breast Cancer Receiving Talazoparib
Ashley Martinez,(1) DNP, APRN, FNP-BC, AOCNP®, CBCN, CPHQ, NEA-BC, Tiffany Jones,(2) MSN, ACNP-BC, Joanne C. Ryan,(3) PhD, RN, Chad M. Barnett,(3) PharmD, BCOP, Elpitha L. Soussou,(3) PharmD, MBA, and Sarah Donahue,(4) MPH, NP, AOCNP®
September 20, 2022
Richter Transformation: Clinical Manifestations, Evaluation, and Management
Melanie Douglas, MS, PA-C
July 20, 2022
A Focus on Special Populations in Relapsed Multiple Myeloma
Mary Steinbach,(1) DNP, APRN, Kathleen Colson,(2) RN, BSN, BS, and Beth Faiman,(3) PhD, MSN, APRN-BC, AOCN®, BMTCN, FAAN
June 30, 2022
A Focus on CAR T-Cell Therapy and Bispecific Antibodies in Multiple Myeloma
Donna Catamero, ANP-BC, OCN®, CCRC, Tiffany Richards, PhD, ANP-BC, AOCNP®, and Beth Faiman,(3) PhD, MSN, APRN-BC, AOCN®, BMTCN, FAAN
June 30, 2022
A Focus on Waldenström Macroglobulinemia and AL Amyloidosis
Rebecca Lu, MS, FNP, and Tiffany Richards, PhD, ANP-BC, AOCNP®
June 30, 2022
A Focus on Newly Diagnosed Multiple Myeloma
Kevin Brigle,(1) PhD, ANP, Daniel Verina,(2) DNP, RN, ACNP-BC, and Beth Faiman,(3) PhD, MSN, APRN-BC, AOCN®, BMTCN, FAAN
June 29, 2022
A Focus on Relapsed Multiple Myeloma
Kimberly Noonan,(1) DNP, ANP-BC, AOCN®, Sandra Rome,(2) RN, MN, AOCN®, CNS, and Beth Faiman,(3) PhD, MSN, APRN-BC, AOCN®, BMTCN, FAAN
June 29, 2022
Myasthenia Gravis: A Rare Neurologic Complication of Immune Checkpoint Inhibitor Therapy
Yelena Shames, MS, ACNP-BC, CNRN, CTNL, Mimma Errante, MS, ANP-C, OCN®, and Nana Prempeh Keteku, MS, ANP-BC
March 19, 2022
Uterine Leiomyosarcoma
Katherine L. Byar,(1) MSN, APN, BC, BMTCN®, and Tricia Fredericks,(2) MD, MPH
January 19, 2022
Retroperitoneal Liposarcoma: An Unusual Presentation of a Rare Cancer
Jennifer L. Spicer, MA, PA-C
November 24, 2021
Addiction in Patients With Cancer: Challenges and Opportunities
Gretchen A. McNally, PhD, ANP-BC, AOCNP®, and Ashley Sica, MSN, RN, CNL
September 22, 2021
Transitioning From Thrombopoietin Agonists to the Novel SYK Inhibitor Fostamatinib: A Multicenter, Real-World Case Series
David M. Hughes,(1) PharmD, BCOP, Charina Toste,(2) DNP, APN, Christopher Nelson,(3) ACNP-BC, Juliet Escalon,(4) ANP, Frances Blevins,(5) PA-C, and Bhavesh Shah,(1) RPh, BCOP
July 12, 2021
Management of Adverse Events Associated With Tyrosine Kinase Inhibitor Use in Adult Patients With Chronic Myeloid Leukemia in Chronic Phase: An Advanced Practice Perspective
Stephanie Bauer, RN, MSN, BC-FNP, Holly Comer, MSN, APRN, Brooke Ramsey, RN, MSN, ANP-BC, and Katy Thomas, RN, MSN, ANP-C
July 12, 2021
Essential Thrombocythemia in a 15-Year-Old Female: Presentation, Workup, and Treatment Considerations in the Pediatric Population
Crystal Flagg, MPAS, PA-C, and Brad Pierce, MPAS, PA-C
May 19, 2021
Exploring the Use of Medical Marijuana for Supportive Care of Oncology Patients
Deena Damsky Dell,(1) MSN, APRN, AOCN®, LNC, and Daniel P. Stein,(2) MD
March 17, 2021
Advanced Practice Perspectives on Preventing and Managing Tumor Lysis Syndrome and Neutropenia in Chronic Lymphocytic Leukemia
Amy Goodrich, RN, MSN, CRNP
January 19, 2021
Metastatic Melanoma With Leptomeningeal Disease
Amanda M. Marinova, MS, PA-C, Jennifer L. Reilly, CRNP, BSN, MSN, RN, AANP, Victoria Wong, MS, PA-C, Stephanie Weiss, MD, and Anthony J. Olszanski, MD
January 19, 2021
Acute Myeloid Leukemia: Advanced Practice Management From Presentation to Cure
Meredith Beaton, RN, MSN, AG-ACNP, Glen J. Peterson, RN, DNP, ACNP, and Kelly O’Brien, RN, MSN, ANP-C, ACNP-BC
November 17, 2020
Budd-Chiari Syndrome as Initial Manifestation of Polycythemia Vera: Complexities in the Management of Younger Patients
Lindsey Lyle,(1) MS, PA-C, and Lindsey E. Kalhagen,(2) PA
September 30, 2020
Optimizing Treatment Strategies in Patients With Polycythemia Vera Who Develop a Thrombotic Event on Frontline Therapy
Lindsey Lyle,(1) MS, PA-C, and Julie Huynh-Lu,(2) PA
September 30, 2020
Optimizing Palbociclib Therapy Across the Age Spectrum: Hypothetical, Illustrative Case Scenarios in HR+, HER2– Metastatic Breast Cancer
Kimberly Podsada,(1) MSN, NP-C, Joanne C. Ryan,(2) PhD, RN, and Kristi Orbaugh,(3) RN, MSN, RNP, AOCN®
September 23, 2020
Pseudoprogression and Immunotherapy Phenomena
Elizabeth S. Waxman, RN, MSN, AOCN®, ANP-BC, and Donna Lee Gerber, CNS
September 23, 2020
A Patient-Centered Approach for the Treatment of Fungating Breast Wounds
Karlyn L. Rupert, MPAS, PA-C, and Andrea J. Fehl, CRNP, AOCNP®
July 22, 2020
Waldenström Macroglobulinemia: Clinical Presentation, Diagnosis, and Management
Miriam Hobbs, DNP, APRN, CNP, Amie Fonder, PA-C, and Yi L. Hwa, DNP, APRN, CNP
May 27, 2020
A Tale of Two Sisters: Breast Reconstruction Options for Women With or at High Risk of Breast Cancer
Kathryn Trotter,(1) DNP, CNM, FNP, FAAN, Jennifer K. Plichta,(2) MD, MS, FACS, and Michael Zenn,(3) MD, MBA, FACS
March 13, 2020
Management of Acute Pancreatitis Associated With Checkpoint Inhibitors
Barbara Barnes Rogers, CRNP, MN, AOCN®, ANP-BC, Terri Cuddahy, RN, MSN, OCN®, and Carolyn Zawislak, MPAS, PA-C
January 21, 2020
Dihydropyrimidine Dehydrogenase Deficiency: To Screen or Not to Screen?
Wendy H. Vogel,(1) MSN, FNP, AOCNP®, Ahmed Minhas,(2) MD, and Steven Baumrucker,(1) MD
January 21, 2020
The Role of Advanced Practitioners in Optimizing Clinical Management and Support of Patients With Cytokine Release Syndrome From CAR T-Cell Therapy
Sherry Adkins, MSN, ANP-C
November 20, 2019
Chronic Neutrophilic Leukemia: A Case Report of a Rare Myeloproliferative Neoplasm With a CSF3R Mutation
Lorinda A. Coombs, PhD, FNP-BC, AOCNP
November 20, 2019
Optimizing the Management of Carcinoid Syndrome to Reduce the Impact of Diarrhea
Rory Randall,(1) CNP, AOCNP®, Bonita Bennett,(2) RN, BSN, Tiffany Valone,(3) PA-C, MS, OT, and Kirsten Blue,(3) PA-C, MS
November 20, 2019
Treatment of Pregnancy-Associated Breast Cancer
Bernadette Labriola, RN, MSN, FNP-C
September 18, 2019
Therapy Management Using Modified 2-Weeks-On/1-Week-Off Dosing Schedule in Patients With Metastatic Renal Cell Carcinoma Receiving Sunitinib: A Hypothetical, Illustrative Case Scenario
Kimberly D. Allman,(1) CNP, Joanne C. Ryan,(2) PhD, RN, Andrew Clair,(2) PhD, and Sarah Yenser-Wood,(3) NP
July 22, 2019
Breast Cancer in the Transgender Population
Andrea Fehl,(1) FNP-C, MSN, AOCNP®, Shannon Ferrari,(1) PA-C, MPAS, Zoe Wecht,(1) BS, and Margaret Rosenzweig,(2) PhD, FNP-C, AOCNP®, FAAN
May 21, 2019
Advances in HER2-Positive Breast Cancer: Novel Therapies and Adverse Event Management
Reshma Mahtani, DO, and Lisa Hineman, MS, AOCN®, PHN, ANP-C
March 24, 2019
Scalp Cooling: A Patient’s Experience
Lynn Weatherby, RN, BSN, OCN®, and Lynne Brophy, MSN, RN-BC, APRN-CNS, AOCN®
March 24, 2019
Challenges and Role Changes in Caring for Adult Children With Cancer
Laura Bourdeanu, NP, PhD, and Patricia Cannistraci, DSN, RN, CNE
September 14, 2018
Comprehensive Geriatric Assessment in Oncology: Best Practices in Caring for Older Patients
Janine Overcash,(1) PhD, GNP-BC, FAANP, Nikki Ford,(2) BA, BSN, RN, OCN®, H. Paige Erdeljac,(2) PharmD, BCACP, Susan Fugett,(2) MSW, LISW-S, OSW-C, Brittany Knauss,(2) PT, DPT, CLT, Elizabeth Kress,(2) CNP, Cari Utendorf,(2) PT, DPT, MBA, CLT-LANA, and Anne Noonan,(3) MD, MB BCh BAO, MSc, MRCPI
September 14, 2018
Current Issue


Pain as the Fifth Vital Sign Challenges in Managing Cancer Related Pain
Beth Faiman, PhD, MSN, APRN-BC, AOCN®, BMTCN, FAAN, FAPO
September 17, 2025
Women With Gynecologic Cancers: Screening for Substance Use Disorders Is Key
Lindsay Shor, DNP, WHNP-BC, Alison Edie, DNP, APRN, FNP-BC, Kathryn Trotter, DNP, CNM, FNP-BC, FAANP, FAAN Et al.
September 17, 2025
Tumor Treating Fields An Innovative Therapy for Glioblastoma and Other Solid Tumors
Jennifer N. Serventi, PA-C, Herbert B. Newton, MD
September 17, 2025